HdiR是一种调控自身表达的DNA结合蛋白
为了确定hdiR表达是否是自调控的,我们构建了一个突变株PV114,它表达一种缺乏可能参与DNA结合的HTH基序的HdiR衍生物。Northern印迹分析显示,在没有DNA损伤的情况下,hdiR'的表达与野生型细胞中的水平相比增加了20倍,并且不受DNA损伤的影响。由于这些结果表明hdiR表达是自调控的,我们使用迁移率变动实验来检测HdiR是否能结合其启动子区域。为此,我们从表达组氨酸标签HdiR衍生物的大肠杆菌细胞中纯化了HdiR。当HdiR与覆盖hdiR起始密码子-221到+5区域的DNA片段一起孵育时,我们发现增加HdiR的量会延缓片段的迁移。当我们用覆盖翻译起始位点-372到-82区域的片段进行实验时,HdiR结合完全被消除,表明HdiR结合位于IR2和hdiR起始密码子之间的一个位点。在将IR1和IR1序列作为22 bp片段克隆到pBluescript-II SK+中后,我们观察到只有含有IR1的DNA被HdiR阻滞。因此,IR1含有HdiR的靶序列。
图3. HdiR与hdiR、recA和umuC启动子区域的结合。A. His6-HdiR与MG1363 hdiR、IL1403 recA和IL1403 umuC假定启动子区域的结合。反应含有35 ng源自hdiR、recA和umuC的PCR DNA片段,分别与0 ng、14 ng或28 ng HdiR混合。B. His6-HdiR与含有IR1或IR2的pBluescript-II SK+多克隆位点的结合。反应含有35 ng源自pBluescript-IR1和pBluescript-IR2的PCR DNA片段,分别与0 ng、14 ng或28 ng HdiR混合。反应在5% PAGE中分离,然后用EtBr染色凝胶并用Fluor-S成像仪扫描。未结合DNA和蛋白质-DNA复合物的位置如图所示。
HdiR调控乳酸乳球菌中UmuC的表达
为了鉴定HdiR调节子中的基因,我们使用蛋白质组学方法寻找在PV114中表达与MG1363中相比发生变化的蛋白质。然而,当细胞在化学成分确定的培养基中于30°C生长并用[35S]-甲硫氨酸脉冲标记,随后通过二维蛋白质凝胶电泳分离蛋白质时,我们未能检测到野生型和PV114突变株之间整体蛋白质模式的任何变化。或者,我们用IR1核心基序搜索IL1403基因组序列数据库,发现一个几乎相同的序列,该序列部分重叠umuC基因的假定-10区域。用源自IL1403 umuC基因的探针对MG1363进行的Southern分析表明,MG1363缺乏umuC同源物。因此,我们检测了HdiR是否能结合从IL1403基因组扩增的umuC启动子区域。在凝胶阻滞实验中,HdiR确实阻滞了携带IL1403 umuC启动子的252 bp片段。为了确认HdiR在体内调控umuC表达,我们将一个携带IL1403 umuC结构基因及其假定启动子区域的质粒分别导入野生型和PV114细胞,得到PV121和PV122。当用MMC处理PV121和PV122时,Northern印迹分析揭示了两个umuC特异性转录本,两者在野生型细胞中均被MMC诱导,而在编码HdiR'的菌株中仅被轻微诱导。然而,在没有MMC的情况下,PV122中两个umuC转录本的表达比PV121中高4.4倍,表明HdiR调控来自IL1403的umuC表达。
在许多细菌中,LexA调控recA的表达。因此,我们研究了HdiR是否结合IL1403的recA启动子区域。然而,我们未能检测到这种结合。此外,Northern印迹分析显示,recA在MG1363和PV114中的表达是相同的,表明HdiR不是recA表达的阻遏物。
HdiR的切割由RecA刺激
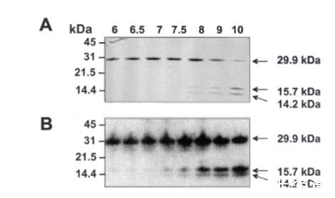
LexA蛋白家族成员的一个主要特征是它们能够在体内进行自切割,需要激活形式的RecA,而在体外高pH下会自发发生自切割。为了研究HdiR是否经历pH依赖性自切割,我们在不同pH下孵育纯化的His6-HdiR蛋白,观察到His6-HdiR的自切割在pH 8.0-10下自发进行,产生两个大小分别约为14和16 kDa的产物。在用针对His6-HdiR蛋白的多克隆抗体进行分析后,我们通过蛋白质印迹分析切割产物,未检测到任何额外的蛋白质条带。较小C端切割产物的N端序列分析揭示了一个序列Gly-Phe-Gln-Thr-Ala-Asn,表明切割发生在Ala126和Gly127残基之间。
图4. 纯化HdiR的自切割分析。A. 含有500 ng纯化HdiR的自切割反应在SDS-PAGE凝胶上考马斯亮蓝染色后的可视化。B. 含有100 ng HdiR的自切割反应用抗His6-HdiR抗体进行Western印迹分析。具有计算分子量的HdiR衍生肽用右侧箭头指示。
相关新闻推荐
1、松针精油对梭状芽孢杆菌、酵母菌、串珠镰刀菌生长曲线的影响
2、测定代表性排放路径等级下噬藻体生长曲线、感染力指标——摘要
