研究简介
益生菌能够利用生物活性化合物增殖,其复合物的免疫功能比单一的益生菌更强。然而,很少有研究调查这些复合物增强免疫功能的潜力。本研究以从西藏传统发酵乳制品中分离的副干酪乳杆菌JY091(L.paracasei JY091)和蜂王浆为研究对象。通过体外生长粘附试验、体外细胞试验、体内小鼠试验和肠道菌群分析对副干酪乳杆菌JY091与蜂王浆(LR)的复合物进行评价。当5%蜂王浆体外培养时,副干酪乳杆菌JY091的活菌计数最高。LR可缓解脂多糖诱导的Caco-2细胞炎症,高剂量组(109 CFU/mL副干酪乳杆菌JY091+5%蜂王浆)可显著减轻脂多糖诱导的炎症。
LR可以提高免疫功能低下小鼠的免疫力。对于CTX诱导的免疫功能低下小鼠,高剂量组显著增加免疫球蛋白和促炎因子(IL-1β、IL-6、TNF-α和IFN-γ)含量,显著降低抗炎因子(IL-10)含量,并在一定程度上恢复受损的脾脏组织结构和红白髓分布,调节T淋巴细胞总水平和亚组间比例平衡。LR可以调节肠道菌群的多样性。灌胃后,Alpha多样性指数增加,有害菌(瘤胃球菌属、变形菌门属、阿德勒克柔氏菌属和丹毒菌科)丰度降低。有益细菌(Coprococcus、双歧杆菌、乳杆菌、粪杆菌、Alistipes、Oscillospira和Roseburia)的丰度增加。结果表明,蜂王浆可作为副干酪乳杆菌JY091的潜在益生元。研究结果为复合功能食品的发展提供了新的见解和理论基础。
Bioscreen全自动生长曲线分析仪的应用
Bioscreen全自动生长曲线分析仪用于培养副干酪乳杆菌JY091,制备了分别含有1%、3%、5%、7%和9%蜂王浆的无葡萄糖MRS培养基。将副干酪乳杆菌JY091以5%的接种量接种到这些培养基中。采用Bioscreen Cpro自动生长曲线仪检测不同培养基中菌株的生长情况。在稳定的生长曲线下通过铺展板法测量生长过程中的最大活细胞数量。研究人员可以实时监测其在不同培养条件下的生长情况。
实验结果
本研究开发了副干酪乳杆菌JY091与蜂王浆的复合制剂,以增强免疫功能。研究表明,蜂王浆可促进副干酪乳杆菌JY091的生长并增强其粘附性能,浓度为5%可产生最明显的有益效果。这些发现表明蜂王浆具有潜在的益生元特性。此外,结果表明副干酪乳杆菌JY091和蜂王浆复合物在体外和体内有效调节促炎和抗炎介质之间的平衡,从而恢复免疫功能。高剂量组在恢复受损的脾脏组织结构、红髓和白髓分布比例、T淋巴细胞总水平和亚组比例、缓解脾损伤方面更有效。此外LR可以提高肠道菌群的多样性,调节肠道微生态的平衡,促进一些有益菌的生长,抑制一些有害菌的生长。总之,LR恢复了免疫功能低下小鼠的免疫功能。
图1、(a)不同蜂王浆浓度下副干酪乳杆菌JY091的生长曲线,(b)不同蜂王浆浓度对副干酪乳杆菌JY091黏附率的影响。∗∗表明不使用蜂王浆组与使用蜂王浆组比较,差异有统计学意义。副干酪乳杆菌JY091的生长曲线表明,在含有不同浓度蜂王浆的培养基中培养时,活菌数量存在显著差异。随着蜂王浆的添加量从1%增加到3%,副干酪乳杆菌JY091达到对数期所需的时间越来越长,细菌生长越来越好,培养基中活菌数量增加。当蜂王浆的添加量达到5%时,活菌数量最多。
图 2、副干酪左杆菌 JY091 和蜂王浆作用于 Caco-2 细胞后炎症因子基因的表达。∗∗表明模型组与模型组之间比较,差异有统计学意义(P < 0.01)。∗∗表明不同模型组间差异有统计学意义(P < 0.01)。∗表明不同模型组间差异有统计学意义(P < 0.05)。
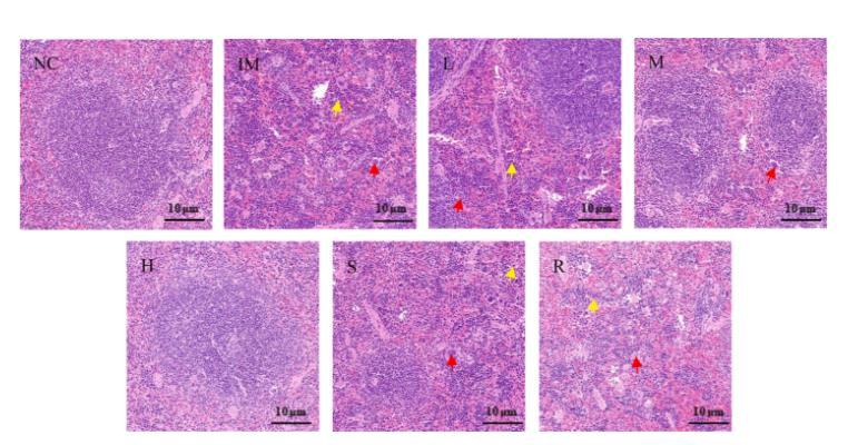
图3.小鼠脾脏的HE染色。黄色箭头代表中性粒细胞浸润。红色箭头代表多核巨噬细胞,放大倍数为200倍
图 4、(a) 副干酪乳杆菌 JY091 和蜂王浆对小鼠脾脏 T 淋巴细胞亚群 CD3+ 的影响,(b) 副干酪乳杆菌 JY091 和蜂王浆对小鼠脾脏 T 淋巴细胞亚群 CD4+ 的影响,(c) 副干酪乳杆菌 JY091 和蜂王浆对小鼠脾脏 T 淋巴细胞亚群 CD8+ 的影响。放大倍数为 200 倍。∗∗表明不同模型组间差异有统计学意义(P < 0.01)。∗表明不同模型组间差异有统计学意义(P < 0.05)。## 表明正常组与模型组比较,差异有统计学意义(P < 0.01)。# 表明正常组与模型组比较,差异有统计学意义(P < 0.05)。
图5、副干酪乳杆菌JY091和蜂王浆对小鼠脾细胞炎症因子基因表达的影响。与NC组相比,IM组促炎因子IL-1β、IL-6、TNF-α、IFN-γ的mRNA表达显著降低,抗炎因子IL-10的mRNA表达显著升高(P<0.01)。与IM组相比,L、M、H、S、R组均能增加促炎因子的mRNA表达,并不同程度地抑制抗炎因子的mRNA表达,其中M、H、S组效果显著(P<0.01)。LR可以通过调节体内和体外细胞因子的表达水平来促进机体产生免疫反应,从而促进免疫反应。
总结
本研究旨在探讨副干酪乳杆菌JY091与蜂王浆复合物对机体免疫调节作用及肠道菌群的影响。免疫系统是维持机体健康的关键防线,而肠道菌群与免疫系统之间存在着密切的相互作用。近年来,益生菌和天然产物在免疫调节和肠道健康领域的研究备受关注。副干酪乳杆菌作为一种益生菌,具有调节肠道菌群、增强免疫功能等多种潜在益处。蜂王浆则富含多种生物活性成分,如蛋白质、肽类、维生素等,被认为具有免疫调节、抗氧化等功效。将两者复合使用,可能会产生协同作用,从而更有效地改善机体的免疫状态和肠道微生态。采用了体外细胞实验和体内动物实验相结合的方式。首先,通过体外细胞培养实验,观察副干酪乳杆菌JY091与蜂王浆复合物对免疫细胞(如巨噬细胞、T细胞等)的增殖、活化以及细胞因子分泌的影响。结果表明,该复合物能够显著促进免疫细胞的增殖和活化,并上调多种关键细胞因子的表达,如白细胞介素-2(IL-2)、干扰素-γ(IFN-γ)等,从而发挥免疫调节作用。通过在Bioscreen全自动生长曲线分析仪培养副干酪乳杆菌JY091,研究人员可以实时监测其在不同培养条件下的生长情况。在研究中,研究人员设置了多个实验组和对照组,单独培养副干酪乳杆菌JY091、添加蜂王浆的复合培养组以及空白对照组。Bioscreen设备能够同时处理多个样本,通过对比不同组别的生长曲线,研究人员可以直观地观察到蜂王浆对副干酪乳杆菌生长的促进或抑制作用。
相关新闻推荐
1、香蕉细菌性软腐病菌sucA基因突变对细菌生长、毒力的影响——讨论、结论
2、土壤有机磷源卵磷脂和植酸对禾谷镰刀菌菌丝生长和致病力的影响(二)
3、肠道菌群是关键:研究揭示茶酚类及其代谢物对细菌生长的差异化影响(一)
