本研究揭示了铜绿假单胞菌(Pseudomonas aeruginosa,PA)中转录因子RccR(PA5438)在调控碳代谢及氨基糖苷类抗生素耐受性中的重要作用。铜绿假单胞菌是一种革兰氏阴性机会性致病菌,常导致人类严重感染,尤其在囊性纤维化患者中。氨基糖苷类抗生素如妥布霉素、庆大霉素等是治疗PA感染的关键药物,但PA已发展出多种耐药机制,包括生物膜形成、靶标修饰等。
研究PA的代谢调控与抗生素耐受性之间的联系对于开发新的抗菌策略至关重要。研究人员通过CRISPR/Cas12k引导的转座酶技术构建了PA的转录因子突变文库,并筛选出rccR基因突变株在妥布霉素选择下显著富集,表明rccR的缺失显著增强了细菌对氨基糖苷类抗生素的耐受性。转录组分析显示,RccR可调节丙酮酸代谢(aceE/F)和乙二酸旁路途径(aceA和glcB)中代谢酶的表达,进而影响对氨基糖苷类抗生素的耐受性。进一步研究发现,2-酮-3-脱氧-6-磷酸葡萄糖酸(KDPG)是直接与RccR结合的信号分子。RccR/KDPG复合物的结构分析揭示了它们之间的详细相互作用。关键残基R152、K270或R277被丙氨酸替代后,RccR丧失了对KDPG的感应能力,并且在以甘油或葡萄糖为唯一碳源时细菌生长受损。本研究不仅阐明了RccR在PA碳代谢和氨基糖苷类抗生素耐受性中的关键作用,还揭示了KDPG感应机制,为开发针对PA感染的新抗菌策略提供了重要依据。通过深入了解RccR介导的代谢调控机制,未来有望找到新的靶点,以克服PA的抗生素耐受性,提高临床治疗效果。
Bioscreen全自动生长曲线分析仪的应用
Bioscreen C生长曲线分析仪在研究中被用于监测不同结核分枝杆菌菌株的体外生长情况。首先将处于对数生长中期(OD600nm≈0.6)的各菌株制备成菌悬液。将调整至相似密度的菌悬液(约200μl)加入Bioscreen C专用的100孔蜂窝板中。Bioscreen C生长曲线分析在37°C下进行振荡培养,实验持续两周。本研究使用Bioscreen C来比较野生型H37Rv、Rv1272c敲除株(H37RvΔRv1272c)和回补株(H37Rv(ΔRv1272c+Rv1272c))在标准培养条件下的生长曲线。
实验结果
鉴定出RccR是一个与氨基糖苷类抗生素耐受性相关的TF,并在铜绿假单胞菌中调控丙酮酸代谢和乙醛酸分流途径,揭示了碳代谢、转录调控和药物耐受性之间的联系。确定了RccR/KDPG复合物的结构,阐明了KDPG感应和RccR介导的转录调控的分子机制。本研究阐明了RccR在PA碳代谢和氨基糖苷类抗生素耐受性中的关键作用,还揭示了KDPG感应机制,为开发针对PA感染的新抗菌策略提供了重要依据。通过深入了解RccR介导的代谢调控机制。
图1、rccRrccR缺失突变株对妥布霉素耐受。(A)每个基因的富集分数被排序并绘制。PA5438(rccRrccR)在妥布霉素处理后富集并以蓝色标记。(B)散点图显示了妥布霉素处理和对照样品中所有靶位点的插入计数。属于PA5438的位点以红色标记。(C)rccRrccR缺失突变体的点种测定。菌株在存在或不存在妥布霉素的LB琼脂平板上生长。(D)rccRrccR缺失突变体的生长曲线测定。菌株在存在或不存在妥布霉素的LB培养基中生长。数据表示为平均值±标准差(SD)(n=3)。
图2、RccR是丙酮酸代谢和乙醛酸分流途径的调节因子。PAO1野生型和ΔrccR缺失突变体在对数期(A)和稳定期(B)基因表达显著性差异分析的火山图。红色圆圈表示表达上调,蓝色圆圈表示表达下调,灰色圆圈表示无显著差异。(C)野生型PAO1和ΔrccR缺失突变体在对数期和稳定期aceE,aceF,aceAaceE,aceF,aceA和glcBglcB的相对mRNA转录水平。PAO1的gyrBgyrB基因用作参考基因。数据表示为平均值±SD(n=3)。(D)丙酮酸代谢和乙醛酸分流途径中受RccR调控的基因。(E)过表达aceAaceA或glcBglcB基因的PAO1菌株的生长曲线测定。菌株在存在或不存在妥布霉素的LB培养基中生长。
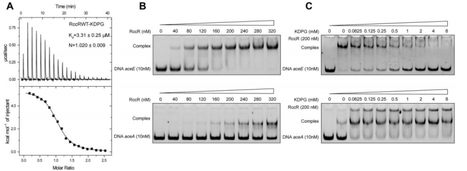
图3、评估KDPG对RccR的影响。(A)RccR与KDPG结合的ITC测定。Kd,解离常数;N,每个RccR的结合位点数。在不存在(B)或存在(C)0.0625,0.125,0.25,0.5,1,2,4和8 mM KDPG的情况下,RccR与其操纵子DNA相互作用的EMSA分析。
图4、RccR/KDPG复合物的结构表征。(A)RccR/KDPG复合物四聚体形式的整体结构以及KDPG电子密度的详细视图。单体(A–D)分别用小麦色、浅蓝色、蓝绿色和灰色标记。KDPG为绿色。(B)RccR单体结构的卡通图。α-螺旋、β-折叠和环分别用青色、洋红色和粉红色着色。(C)基于RccR/KDPG三级结构的RccR拓扑示意图。(D,E)RccR与KDPG之间详细的直接氢键相互作用。虚线代表直接氢键。位于同一单体的残基用相同颜色标记。
图5、RccR对KDPG的识别对于调控活性至关重要。(A)在不存在或存在递增浓度KDPG的情况下,不同RccR单突变体蛋白与不同DNA结合能力的EMSA分析。WT,野生型。(B)KDPG与不同RccR单突变体蛋白之间结合亲和力的ITC测定。Ka,结合常数;N/A,ITC未检测到结合。(C)PAO1 WT和rccR突变株在补充有葡萄糖、甘油或乙酸盐作为唯一碳源的MOPS基本培养基中的生长曲线。WT,野生型。数据表示为平均值±SD(n=3)。(D)以葡萄糖、甘油或乙酸盐作为唯一碳源时铜绿假单胞菌的碳代谢。
总结
铜绿假单胞菌拥有复杂的转录因子网络,能够协调调节细胞代谢状态以快速适应变化的环境。其在精细调控代谢状态方面的非凡能力使其成功耐受抗生素并逃避宿主免疫防御。然而,铜绿假单胞菌中转录调控、代谢状态和抗生素耐受性之间的联系仍largely不清楚。通过筛选由CRISPR/Cas12k引导的转座酶构建的铜绿假单胞菌TF突变体文库,我们鉴定出rccR(PA5438)是氨基糖苷类抗生素耐受性的一个主要遗传决定因子,其缺失显著增强了细菌耐受性。本研究进一步揭示了RccR在丙酮酸代谢(aceE/aceF)和乙醛酸分流途径(aceA和glcB)中的抑制作用,并且aceA或glcB的过表达增强了细菌耐受性。此外鉴定出2-酮-3-脱氧-6-磷酸葡萄糖酸是直接结合RccR的信号分子。RccR/KDPG复合物的结构分析揭示了详细的相互作用。将关键残基R152、K270或R277替换为丙氨酸会废除RccR对KDPG的感知,并损害细菌在以甘油或葡萄糖为唯一碳源时的生长。
本研究揭示了铜绿假单胞菌中氨基糖苷类抗生素耐受性与RccR介导的中心碳代谢调控之间的联系,并阐明了RccR感知KDPG的机制。Bioscreen是一种自动化微生物生长曲线分析系统,用于测量不同铜绿假单胞菌(Pseudomonas aeruginosa)菌株的生长情况,评估特定代谢途径在细菌生长中的作用。通过精确测量不同条件下的细菌生长曲线,帮助研究人员定量分析了RccR在铜绿假单胞菌碳代谢和抗生素耐受性中的调控作用。该设备的自动化和高通量特性使得实验更加高效和准确,为研究微生物代谢和抗生素耐受性提供了有力的工具。
相关新闻推荐
1、肺炎克雷伯菌vgrG基因缺失株构建、体外生长能力测定(三)
2、噬菌体ΦSboM-AG3的一步生长曲线及29个志贺氏菌菌株上AG3的宿主范围
3、BspE 基因缺失对牛种布鲁氏菌体外生长、胞内生存、黏附能力的影响(三)
