1.4病毒分离培养
将采集的病猫的眼、鼻拭子置于1 mL含有青霉素(1 000 U·mL-1)和链霉素(1 000 U·mL-1)的灭菌PBS中,4℃过夜后取800μL上清接种于单层CRFK细胞,每天观察细胞病变(cytopathic effect,CPE),约90%细胞出现病变时,收集培养基上清并分装。取每一代上清1 mL接种细胞进行连续3次传代,每一代进行PCR/RT-PCR检测。
1.5鼠抗FCV多克隆抗体的制备
将传至第三代获得的单纯FCV病毒培养物,利用20%蔗糖进行超速离心,去除杂蛋白。纯化后的病毒(1×107PFU·mL-1)用3‰甲醛于4℃灭活24 h,与佐剂体积比1∶1混合。每只小鼠接种100μL混合物,共接种10只小鼠。免疫完成后,利用血清中和试验检测抗体中和活性及效价,细胞感染FHV-1及FCV后利用间接免疫荧光试验(IFA)检测血清的特异性。
1.6混合病毒中FHV-1的分离
取40μL混合感染病料拭子细胞培养第一代产物,1∶1加入1640培养基进行稀释,共80μL,充分混匀后,将其分装为35、25、10、5μL共4只离心管,再分别向每只离心管中加入80μL鼠抗FCV多克隆抗体,37℃孵育1 h,每管补加1640培养基至200μL后接入长满单层CRFK细胞的24孔板中,37℃孵育1 h,更换为每孔500μL含2%FCV血清的1 640培养基,约90%细胞出现病变时,收集培养基上清,连续传三代,每一代进行PCR/RT-PCR检测。
1.7 FHV-1的增殖与鉴定
1.7.1 FHV-1分离株的增殖将单纯FHV-1病毒液接入单层CRFK细胞,使用含2%FBS的1640培养基维持。观察CPE,待90%细胞出现病变时,冻融离心收集上清,-80℃保存备用。
1.7.2 FHV-1分离株病毒形态鉴定分离的FHV-1传至第四代,1 500 r·min-1离心10 min去除细胞碎片,收集15 mL细胞病变上清,将上清10 000 r·min-1离心90 min,弃上清,沉淀用500μL PBS重悬,送至中国农业科学院哈尔滨兽医研究所中心电镜室进行病毒粒子形态的透射电镜观察。
1.7.3 FHV-1分离株IFA鉴定将FHV-1分离株接种于6孔板单层CRFK细胞,同时设阴性对照。培养24 h出现明显CPE时,弃上清,依次进行-20℃预冷甲醇固定、封闭,加入FHV-1阳性血清为一抗、FITC标记的山羊抗猫IgG二抗,于荧光倒置显微镜下观察结果。
1.7.4 FHV-1分离株生长动力学试验以感染复数(MOI)为0.01感染CRFK细胞,吸附1 h后,更换为含2%FBS的1640培养基,37℃培养。分别在12、24、36、48、60、72、84 h收集培养上清,重复3份,分别测定每个时间点培养上清中的病毒含量。
1.8 FHV-1分离株基因序列分析
提取病毒DNA,按参考文献所述方法对FHV-1 gD基因ORF序列进行扩增(引物序列见表1)。反应体系及程序参照LA Taq试剂盒说明书。PCR产物经1%琼脂糖凝胶电泳鉴定后按照胶回收试剂盒方法进行回收,回收产物与pMD18-T载体连接后转化至DH5α感受态细胞,提取质粒并鉴定,阳性重组质粒送至库美生物科技有限公司进行测序。对测序结果和GenBank上已发表的FHV-1 gD基因核酸序列进行同源性比对分析,并构建FHV-1 gD基因系统遗传进化树。
2结果
2.1病料PCR/RT-PCR检测
采集的猫眼鼻拭子PCR结果显示,FHV-1阳性、FCV阳性、C felis阴性。判定为FHV-1、FCV混合感染。
2.2病毒分离培养
病料拭子接种CRFK细胞,连续传代三次,第一、二代培养上清PCR/RT-PCR检测结果为FHV-1(625 bp)、FCV(174 bp)阳性,且FHV-1第二代培养物条带亮度降低;第三代只检测到FCV(图1)。传代过程中发现,FCV与FHV-1相比,病变速度极快,具有明显的生长优势,由此分离出FCV。
M.DL2000 DNA Marker;1.FHV-1阳性对照;2~4.病料拭子1~3代培养物FHV-1检测结果;5.FHV-1阴性对照;6.FCV阳性对照;7~9.病料拭子1~3代培养物FCV检测结果;10.FCV阴性对照
图1病料拭子分离培养三代产物PCR/RT-PCR检测结果
2.3鼠抗FCV多克隆抗体的制备
FCV分离株经超离纯化后,病毒滴度为1.3×108PFU·mL-1,免疫小鼠制得的多克隆抗体,针对亲本株FCV的中和效价>1 280。IFA鉴定特异性结果显示,此多抗只与FCV结合产生较明亮的特异性绿色荧光,与FHV-1的反应结果和空白对照细胞相当(图2),无明显荧光,说明鼠抗FCV多克隆抗体特异性较高,可用于中和混合病毒里的FCV粒子。
A.感染FCV的CRFK细胞;B.感染FHV-1的CRFK细胞;C.正常CRFK细胞
图2 FCV抗体特异性检测结果(200×)
2.4混合病毒中FHV-1的分离
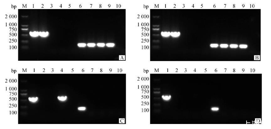
35μL(A组)、25μL(B组)、10μL(C组)、5μL(D组)的第一代细胞培养物与80μL鼠抗FCV多克隆抗体混合后接种细胞,连续进行传代培养,命名为混合1代、2代和3代。结果显示,A、B组的混合1代~3代均观察到CPE:其中混合1代PCR/RT-PCR检测FHV-1(625 bp)、FCV(174 bp)均阳性,混合2代、3代PCR/RT-PCR检测FHV-1阴性、FCV阳性;C组混合1、2代未观察到CPE,PCR/RT-PCR检测结果FHV-1、FCV均阴性,第3代观察到CPE,PCR/RT-PCR检测结果FHV-1阳性、FCV阴性;D组三代均未观察到CPE,且PCR/RT-PCR检测结果FHV-1、FCV均阴性(图3)。C组完全中和混合病毒中的FCV,成功分离出FHV-1,命名为HRB2019株。
图3利用FCV血清中和试验分离混合病毒中的FHV-1
A~D.分别对应A~D组。泳道:M.DL2000 DNA Marker;1.FHV-1阳性对照;2~4.病料拭子1~3代培养物FHV-1检测结果;5.FHV-1阴性对照;6.FCV阳性对照;7~9.病料拭子1~3代培养物FCV检测结果;10.FCV阴性对照
相关新闻推荐
1、猫上呼吸道疾病病例中FCV、FHV-1和FIV分离、鉴定及gB基因同源性分析——结果、结论
2、不同pH、Na2CO3、NaCl浓度对耐盐碱菌株NM-1生长曲线的影响——实验结果与讨论
