研究简介
根尖性牙周炎主要由口腔微生物感染引发,并与多种危险因素有关。虽然,作为根尖牙周炎治疗的主流,根管治疗(RCT)可能会失败并导致治疗后牙髓病。随机对照试验中存活的微生物是PTED的主要原因(Siqueira和Rocas,2009年)。粪肠球菌因其高达77%的高检测频率而被认为是PTED的主要病原体(.根管治疗后的牙髓病(PTED)是根管治疗失败的主要表现,粪肠球菌和白色念珠菌是PTED中最常被检出的微生物组合之一。以往研究表明这两种微生物之间存在相互作用,但其具体机制尚不明确。
胞外囊泡(EVs)作为微生物间通讯的重要媒介,在调控病原体毒力、代谢过程和耐药性等方面发挥关键作用。本研究旨在探讨白色念珠菌来源的EVs对粪肠球菌生长和致病性的影响。研究通过超速离心法从白色念珠菌ATCC 90028的培养上清液中提取EVs,并通过透射电镜(TEM)、扫描电镜(SEM)和纳米颗粒跟踪分析(NTA)对其形态、尺寸和蛋白浓度进行鉴定。采用生长曲线、菌落形成单位计数、扫描电镜和共聚焦激光扫描显微镜等技术,系统评估了不同浓度EVs(0.156μg/mL和5μg/mL)对粪肠球菌浮游生长、生物膜形成、耐恶劣环境能力、牙本质小管侵入能力以及在牙胶尖上定植能力的影响。此外,还通过乳酸脱氢酶(LDH)释放实验和巨噬细胞感染模型,分析了EVs对粪肠球菌细胞侵袭性和细胞毒性的调控作用。本研究首次系统揭示了白色念珠菌EVs在调控粪肠球菌致病性中的双重作用,为理解真菌-细菌跨界互作提供了新的分子机制。
Bioscreen全自动生长曲线分析仪的应用
Bioscreen全自动生长曲线分析仪用于精确评估白色念珠菌胞外囊泡(EVs)对粪肠球菌(Enterococcus faecalis)浮游生长的影响。将粪肠球菌悬液(最终浓度为1×10^6 CFU/mL)与不同浓度的白色念珠菌EVs(0.039-5μg/mL)混合后,取200μL混合物接种于96孔板中。实验设置以等量PBS处理的细菌作为对照组。板孔表面覆盖100μL矿物油以防止蒸发,随后将96孔板置于Bioscreen C Pro全自动生长曲线分析仪中,在37°C条件下连续培养24小时。Bioscreen全自动生长曲线分析仪以每小时自动测量各孔在600nm波长下的光密度(OD600)值,通过这种高频次、自动化的监测方式,获得了粪肠球菌在不同浓度EVs处理下的完整生长动力学数据。这种实时监测方式避免了传统手工取样可能带来的污染和误差,确保了数据的准确性和可重复性。
实验结果
白假丝酵母EV是具有双层膜的纳米颗粒,峰径分别为111.9和230 nm。EV对粪肠杆菌及其生物膜表现出复杂的影响;5μg/mL的EV显示出抑制作用,而0.156μg/mL的EV促进其生长。EVs对粪肠杆菌毒力表现出一致的影响。值得注意的是,5μg/mL的EVs降低了粪肠杆菌对RAW264.7细胞的损伤,以及粪肠杆菌对巨噬细胞的侵袭能力和巨噬细胞吞噬后粪肠杆菌的细胞内存活能力,而0.156μg/mL的EVs则具有完全相反的效果。白假丝酵母EVs对粪肠杆菌的体外生长和毒力具有双重影响,表明白色念珠菌EV参与真菌-细菌通讯。此外,5μg/mL EVs在体外表现出的抑制作用可能提示一种控制粪肠杆菌的新药物。
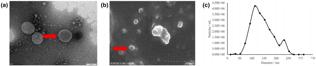
图1、白色念珠菌ATCC 90028中EV的鉴定。(a)白色念珠菌EVs的透射电镜。比例尺,100nm。(b)白色念珠菌EVs的扫描电镜。比例尺,500纳米。(c)通过纳米颗粒追踪分析(NTA)测量的白色念珠菌EV的大小分布范围。红色箭头表示白色念珠菌EV。
图2 、白色念珠菌EVs对浮游粪肠球菌具有双重作用。(a)不同浓度的白色念珠菌EVs处理后粪肠球菌的生长曲线。(b)不同时间点白色念珠菌EVs对粪肠球菌的影响。(c)在预设时间点用不同浓度的EV处理的粪肠球菌CFU。数据以平均值±标准差表示。*p<0.05,**p<0.01,***p<0.001,****p<0.0001,ns,无显著性。
相关新闻推荐
1、人参外泌体改变巨噬细胞极化状态,抑制非小细胞肺癌细胞的生长的分子机制(四)
2、番茄青枯雷尔氏菌T3SS基因hrcN致病力、生长曲线、运动性检测(三)
